- HOME
- 自費での歯科診療
審美歯科
Esthetic Denthistry
自然な美しさと
笑顔をあなたに
審美歯科とは、美しさに焦点を当てた総合的な歯科医療分野の事を指します。 これまでの歯科医療技術では困難とされていた、天然歯と判別できないレベルまでの処置も、現在では当たり前のようになってきています。 歯の美しさは、色、形だけではなく、そこに自然美をプラスすることで初めて生まれます。 天然歯のような輝く美しさと笑顔を皆様にお届けしたいと思っております。
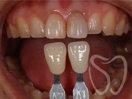
セラミック治療

当院では、セラミックという素材を使用した被せ物・詰め物を扱っております。 これは陶器と同じ素材で、耐久性・見た目・再発リスクとそれぞれの面で優れています。 保険診療による被せ物、詰め物では金属を使用しますが、セラミックでは金属を使用しないため、アレルギーが気になる方にもお勧めです。
- 天然歯のような
自然な白さ - 金属アレルギー
でも使用可能 - むし歯の
リスクが
少ない
審美歯科診療 症例
主訴:被せものの色が気になる。
-
- 症例の治療内容
-
- ファイバーコア
- ジルコニアクラウン
-
- 症例にかかった費用
- 前歯:80,000円(税込)×1歯
-
- 症例の治療に関するリスクや副作用
- 個人差により、ごく稀に欠けたり壊れる可能性があります。
事前に神経の処置(根管治療)や土台(コア)の処置が必要となることがあります。
咬み合わせ・歯ぎしりの強い方は、破損防止のためにマウスピースをおすすめすることがあります。
-
- 症例の治療期間
- 約1週間
-

右上1の色が気になる
-

ジルコニア作成
-

着ける直前
-

装着後
主訴:歯が取れそう。上の歯を綺麗にしたい。
-
- 症例の治療内容
-
- ジルコニアブリッジ
- ジルコニアクラウン
-
- 症例にかかった費用
- 前歯:80,000円(税込)×6歯、臼歯:70,000円(税込)×4歯
-
- 症例の治療に関するリスクや副作用
- 個人差により、ごく稀に欠けたり壊れる可能性があります。
事前に神経の処置(根管治療)や土台(コア)の処置が必要となることがあります。
咬み合わせ・歯ぎしりの強い方は、破損防止のためにマウスピースをおすすめすることがあります。
-
- 症例の治療期間
- 約3週間
-

被せものがカタカタする
-

外すと中は虫歯
-

虫歯を取って治療して綺麗に土台を作る
-

新しく被せものを入れる
主訴:1か月後の結婚式までに前歯の見える部分だけ歯並びと歯の色を治したい。
-
- 症例の治療内容
-
- 前歯ジルコニア補綴×4歯
- ファイバーコア×2歯
- 抜髄×1歯
- 抜歯×2歯
-
- 症例にかかった費用
- 80,000円×5歯(税込)
-
- 症例の治療に関するリスクや副作用
- 個人差により、ごく稀に欠けたり壊れる可能性があります。
事前に神経の処置(根管治療)や土台(コア)の処置が必要となることがあります。
咬み合わせ・歯ぎしりの強い方は、破損防止のためにマウスピースをおすすめすることがあります。
-
- 症例の治療期間
- 約4週間
-

来月の結婚式までにどうしても歯並びと歯の色を治したい
-

治療前
-

矯正するには期間が足りず、予算の都合で全部は治せないので、目立つ所だけ被せもので治療
-

治療後
主訴:かぶせものを自然な色にしたい
-
- 症例の治療内容
-
- ファイバーコア
- ジルコニアクラウン
-
- 症例にかかった費用
- 前歯:80,000円(税込)×3歯
-
- 症例の治療に関するリスクや副作用
- 個人差により、ごく稀に欠けたり壊れる可能性があります。
事前に神経の処置(根管治療)や土台(コア)の処置が必要となることがあります。
咬み合わせ・歯ぎしりの強い方は、破損防止のためにマウスピースをおすすめすることがあります。
-
- 症例の治療期間
- 約1週間
-

前歯の冠の隙間、色、歯茎の色が気になる
-

除冠して土台を綺麗に作り直す。
-

治療後
主訴:被せものを作りたい。
-
- 症例の治療内容
-
- ファイバーコア
- ジルコニアクラウン
-
- 症例にかかった費用
- 前歯:80,000円(税込)×1歯
-
- 症例の治療に関するリスクや副作用
- 個人差により、ごく稀に欠けたり壊れる可能性があります。
事前に神経の処置(根管治療)や土台(コア)の処置が必要となることがあります。
咬み合わせ・歯ぎしりの強い方は、破損防止のためにマウスピースをおすすめすることがあります。
-
- 症例の治療期間
- 約1週間
ホワイトニング
Whitening
ご自身の歯本来の白さ、
明るさを引き出す
ホワイトニングは、歯を削らずに薬剤で歯を白くする方法です。 歯が変色する原因には、たばこ、コーヒー、茶しぶなどによる着色があります。 これらはクリーニングだけでも落とすことができますが、加齢による歯の黄ばみやエナメル質の内部にまで沈着した色素までは落とせません。 ご自身の歯本来の白さ、美しさを引き出す、ホワイトニングがおすすめです。

オフィスホワイトニング
オフィスホワイトニングは歯科医院にて行うホワイトニングです。 歯の表面に専用のジェルを塗布し、それに反応する特殊な光を照射します。 これにより、歯の着色物質を分解させながら白くしていきます。 個人差がありますが約2時間で歯の色素が分解され白く変化し、2週間間隔で数回行うことで、良い結果が出ることがほとんどです。
ホワイトニング 症例
主訴:歯の色が気になる。
-
- 症例の治療内容
-
- インターナルブリーチ
-
- 症例にかかった費用
- 15,000円(税込)×1歯
-
- 症例の治療に関するリスクや副作用
- 薬液の漏洩。神経が無い歯に行う治療なので、根の治療が不十分だと痛みが生じる場合があります。
-
- 症例の治療期間
- 約1ヶ月
-

前歯の色が気になる
-

ブリーチ後
-

自分の歯は白くなってもプラスティックの色は元のままなので新しく詰めなおす
-

治療後
主訴:歯の色が気になる。
-
- 症例の治療内容
-
- インターナルブリーチ
-
- 症例にかかった費用
- 15,000円(税込)×2歯
-
- 症例の治療に関するリスクや副作用
- 薬液の漏洩。神経が無い歯に行う治療なので、根の治療が不十分だと痛みが生じる場合があります。
-
- 症例の治療期間
- 約1ヶ月
-

インターナルブリーチ前
-

インターナルブリーチ後

